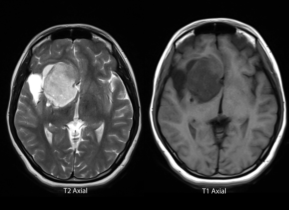
Depo-Provera Lawsuit Depo-Provera lawsuits are being investigated for women who developed meningioma brain tumors after receiving Depo-Provera birth control shots, claiming that Pfizer failed to adequately disclose side effects.
Nitrous Oxide Lawsuit Individuals who suffered harm, or families who lost a loved one after using nitrous oxide products may be eligible for financial compensation through a nitrous oxide lawsuit.
Sports Betting Addiction Lawsuit Sports betting addiction lawsuits are being investigated for college students and young adults who developed gambling problems after using apps like FanDuel and DraftKings, alleging that the platforms failed to warn about the addictive nature of their features and marketing practices.
Tabletop Fire Pit Lawsuit Individuals who suffered severe burns, or families who lost a loved one in a tabletop fire pit explosion, may be eligible for financial compensation through a fire pit injury lawsuit.
Hair Relaxer Lawsuit Regular exposure to chemicals in hair relaxer may cause uterine cancer, ovarian cancer and other injuries. Women diagnosed with cancer may be eligible for settlement benefits.
Dupixent Lawsuit Dupixent lawsuits are being investigated for patients who developed rare blood cancers such as cutaneous T-cell lymphoma (CTCL) after receiving injections, alleging that Sanofi and Regeneron failed to warn about the potential risks of immune suppression and delayed cancer diagnosis.
Ocaliva Lawsuit Ocaliva lawsuits are being investigated for users who experienced liver failure, cirrhosis progression, transplant, or death after taking the drug, alleging that Intercept Pharmaceuticals failed to warn about the risk of dosing toxicity and accelerated liver damage.
Roblox Lawsuit Families are filing Roblox lawsuits after children were targeted by predators for grooming, sextortion, sexual abuse, or exploitation on the platform. Learn who qualifies, what cases allege, and how to file a confidential claim.
Ozempic Lawsuit Lawyers are pursuing Ozempic lawsuits, Wegovy lawsuits and Mounjaro lawsuits over gastroparesis or stomach paralysis, which can leave users with long-term gastrointestinal side effects
Suboxone Tooth Decay Lawsuit Lawsuits are being pursued by users of Suboxone who experienced tooth loss, broken teeth or required dental extractions. Settlement benefits may be available.
Study Indicates Half of Serious Auto Accidents Linked to Drug, Alcohol Use NHTSA researchers report 55.8% of roadway users injured or killed in auto accidents tested positive for one or more drugs or alcohol January 2, 2023 Russell Maas Add Your Comments Over the last several years, reports suggest that car accident fatalities have reached record highs, with many experts attributing the increasing numbers to more speeding and the increased popularity of SUV’s. However, new research by federal highway safety officials suggests drugs and alcohol have also played a significant role. In a study released by the U.S. National Highway Traffic Safety Administration (NHTSA) last month, officials indicate more than half of all serious and fatal car crashes analyzed between 2019 and 2021 involved some form of drug or alcohol influence. Despite efforts to improve vehicle safety, by adding new features that are intended to reduce the risk of crash injuries, NHTSA officials have recorded consecutive increases in overall car accident deaths over the last several years, with 33,244 fatalities in 2019, 38,824 in 2020, and 42,915 in 2021. The agency has provided several theories to explain why such drastic increases have been recorded, but new research indicates impaired driving may be a much larger contributor than previously believed. Do You Know about… SPORTS BETTING ADDICTION LAWSUITS FOR YOUNG ADULTS Gambling addiction and severe financial losses have been linked to popular sports betting platforms like DraftKings, FanDuel, and Caesars. Lawsuits are being filed by young adults and students who were targeted by deceptive promotions, addictive app features, and aggressive marketing tactics. See if you qualify for a sports betting addiction lawsuit. Learn More SEE IF YOU QUALIFY FOR COMPENSATION Do You Know About… SPORTS BETTING ADDICTION LAWSUITS FOR YOUNG ADULTS Gambling addiction and severe financial losses have been linked to popular sports betting platforms like DraftKings, FanDuel, and Caesars. Lawsuits are being filed by young adults and students who were targeted by deceptive promotions, addictive app features, and aggressive marketing tactics. See if you qualify for a sports betting addiction lawsuit. Learn More SEE IF YOU QUALIFY FOR COMPENSATION The latest research by NHTSA reviewed data on individuals involved in fatal car crashes between September 2019 and July 2021 across several densely populated cities in the U.S., including Baltimore, Maryland, Sacramento, California, Jacksonville, Florida, and other. The study collected data on drivers, passengers, pedestrians, bicyclists, or other roadway users involved in serious or fatal crashes that were transported to a trauma center, and blood samples were taken. According to the result of the study, NHTSA indicates 55.8% of roadway users injured or killed in auto accidents tested positive for one or more drugs or alcohol, and 19.9% of the individuals tested for positive for two or more categories of drugs or alcohol. Researchers found 25.1% tested positive for cannabinoids (active THC), followed by alcohol (23.1%), stimulants (10.8%), and opioids (9.3%). Among other common drugs found in the systems of participants included sedatives and antidepressants. For pedestrians, researchers found a slightly different trend with alcohol being the most commonly found substance for study participants. The findings indicate alcohol being the most prevalent at 24.7% among injured or killed pedestrians, followed by cannabinoids at 21.5%, and stimulants at 13.7%. Overall, 20.1% of pedestrians tested positive for two or more categories. Overall, 54.4% of car drivers and motorcycle drivers, 54.6% of pedestrians, 54.1% of 25 passengers, 43.1% of bicyclists, and 61.0% of those who drove other vehicles, such as mopeds, all-terrain vehicles or electric scooters, who presented to trauma centers tested positive for one or more drugs included on the study’s drug panel. The findings suggest a clear association between the increased chance of being involved in a serious car accident or crash when under the influence of alcohol or multiple drug types. Researchers stated results of the study should be used for recommending or building further roadway regulations. 2022 Car Crash Fatalities On The Rise New data released by NHTSA officials in August indicated that road deaths increased by 7% during the first quarter of 2022, when compared to 2021, marking the largest quarterly increase in deaths from car accidents since 2002. The report stated there were at least 9,560 deaths in motor vehicle traffic crashes in the first quarter of 2022, which is a 7% increase over the 8,935 fatalities projected for the same quarter in 2021. According to the newest estimates, 2022 may be on track for yet another consecutive increase in motor vehicle deaths. While the causes of these increased auto accident deaths were not identified in the report, officials noted that several states saw particularly significant increases; with Delaware seeing a 163.2% increase, a 62.5% increase in the District of Columbia, a 37.6% increase in New York and a 51.2% increase in North Carolina. Written by: Russell Maas Managing Editor & Senior Legal Journalist Russell Maas is a paralegal and the Managing Editor of AboutLawsuits.com, where he has reported on mass tort litigation, medical recalls, and consumer safety issues since 2010. He brings legal experience from one of the nation’s leading personal injury law firms and oversees the site’s editorial strategy, including SEO and content development. Tags: Alcohol, Alcohol Abuse, Auto Accidents, Distracted Driving, Drug Abuse, Pedestrian Accident More Lawsuit Stories Depo-Provera Lawsuit MDL Status Hearings Scheduled Throughout 2026 December 1, 2025 Lawsuit Alleges Roblox, Discord Apps Work Together To Enable Child Sexual Abuse December 1, 2025 NordicTrack Lawsuit Claims Defective Treadmill Design Resulted in Injuries December 1, 2025 0 Comments CommentsThis field is for validation purposes and should be left unchanged.Share Your CommentsFirst Name*Last NameEmail* Shared Comments*This field is hidden when viewing the formI authorize the above comments be posted on this page Yes No Post Comment I authorize the above comments be posted on this page Weekly Digest Opt-In Yes, send me a weekly email with the latest lawsuits, recalls and warnings. Want your comments reviewed by a lawyer?To have an attorney review your comments and contact you about a potential case, provide your contact information below. This will not be published.Contact Phone #Alt Phone #Private CommentsNOTE: Providing information for review by an attorney does not form an attorney-client relationship.CAPTCHAGA SourceGA CampaignGA MediumGA ContentGA Term Δ MORE TOP STORIES Depo-Provera Lawsuit MDL Status Hearings Scheduled Throughout 2026 (Posted: today) A federal judge has scheduled a series of case management conferences throughout 2026 as the parties prepare for five “pilot” bellwether trials, which are expected to begin in late 2026 or early 2027. MORE ABOUT: DEPO-PROVERA LAWSUITDepo-Provera Litigation Now Includes Over 2,000 Brain Tumor Lawsuits Brought by Women (11/20/2025)Lawsuit Alleges Depo-Provera Caused Brain Surgery, After Meningioma Diagnosis (11/11/2025)Depo-Provera Pilot Lawsuit Deadlines in MDL Extended Approximately 6 Weeks (11/04/2025) Sudden Ozempic Blindness Reports Raise Concerns Over NAION Side Effects (Posted: 5 days ago) An increasing number of Ozempic and Mounjaro users are reporting sudden, irreversible vision loss from NAION side effects, prompting new lawsuits and a federal push to consolidate blindness claims into a dedicated multidistrict litigation. MORE ABOUT: OZEMPIC LAWSUITOzempic, Similar Drugs Linked to Higher Risk of GI Side Effects: Study (11/21/2025)Lawsuits Over Ozempic Vision Loss and Gastrointestinal Injuries Will Be Separately Managed in NJ State Court (11/17/2025)Judge Extends Deadlines To Address GLP-1 Lawsuit ‘Cross-Cutting’ Issues (10/28/2025) Ongoing Cartiva Lawsuit Settlement Negotiations Cited as Reason to Reject MDL Consolidation (Posted: 6 days ago) Cartiva is urging federal judges to reject consolidation of toe-implant lawsuits, arguing that an MDL would interfere with individual claim resolutions that the company says are already being handled efficiently outside of court. MORE ABOUT: CARTIVA IMPLANT LAWSUITCartiva Lawsuits Allege Toe Implant Fails in About 64% of Patients (11/12/2025)MDL Sought for Cartiva Implant Lawsuits Filed in Federal Court System (11/03/2025)Lawsuit Claims Cartiva SCI Failure Caused by Defective Design of Big Toe Implant (09/18/2025)
Depo-Provera Lawsuit MDL Status Hearings Scheduled Throughout 2026 (Posted: today) A federal judge has scheduled a series of case management conferences throughout 2026 as the parties prepare for five “pilot” bellwether trials, which are expected to begin in late 2026 or early 2027. MORE ABOUT: DEPO-PROVERA LAWSUITDepo-Provera Litigation Now Includes Over 2,000 Brain Tumor Lawsuits Brought by Women (11/20/2025)Lawsuit Alleges Depo-Provera Caused Brain Surgery, After Meningioma Diagnosis (11/11/2025)Depo-Provera Pilot Lawsuit Deadlines in MDL Extended Approximately 6 Weeks (11/04/2025)
Sudden Ozempic Blindness Reports Raise Concerns Over NAION Side Effects (Posted: 5 days ago) An increasing number of Ozempic and Mounjaro users are reporting sudden, irreversible vision loss from NAION side effects, prompting new lawsuits and a federal push to consolidate blindness claims into a dedicated multidistrict litigation. MORE ABOUT: OZEMPIC LAWSUITOzempic, Similar Drugs Linked to Higher Risk of GI Side Effects: Study (11/21/2025)Lawsuits Over Ozempic Vision Loss and Gastrointestinal Injuries Will Be Separately Managed in NJ State Court (11/17/2025)Judge Extends Deadlines To Address GLP-1 Lawsuit ‘Cross-Cutting’ Issues (10/28/2025)
Ongoing Cartiva Lawsuit Settlement Negotiations Cited as Reason to Reject MDL Consolidation (Posted: 6 days ago) Cartiva is urging federal judges to reject consolidation of toe-implant lawsuits, arguing that an MDL would interfere with individual claim resolutions that the company says are already being handled efficiently outside of court. MORE ABOUT: CARTIVA IMPLANT LAWSUITCartiva Lawsuits Allege Toe Implant Fails in About 64% of Patients (11/12/2025)MDL Sought for Cartiva Implant Lawsuits Filed in Federal Court System (11/03/2025)Lawsuit Claims Cartiva SCI Failure Caused by Defective Design of Big Toe Implant (09/18/2025)